
Scienza e Innovazione per un Sorriso Splendente
Il sistema SORRIDI combina anni di ricerca scientifica e clinica con metodologie comprovate, per offrirti un trattamento ortodontico innovativo, sicuro e affidabile. Scopri come la scienza guida ogni passo del nostro protocollo.
Trattamenti realizzati
Dentisti partner
Anni di esperienza

Pubblicazioni su di Noi
Una raccolta di studi scientifici e articoli clinici che hanno esaminato direttamente il protocollo SORRIDI, evidenziandone l’efficacia e la sicurezza.
Le Fondamenta del Nostro Metodo
Approfondimenti sulle pubblicazioni e studi preesistenti che hanno ispirato lo sviluppo del nostro protocollo, fornendo le basi scientifiche per la sua creazione.
Storie di Successo
Scopri come il protocollo SORRIDI ha trasformato i sorrisi e migliorato la qualità della vita dei nostri pazienti attraverso una serie di casi reali e risultati tangibili.
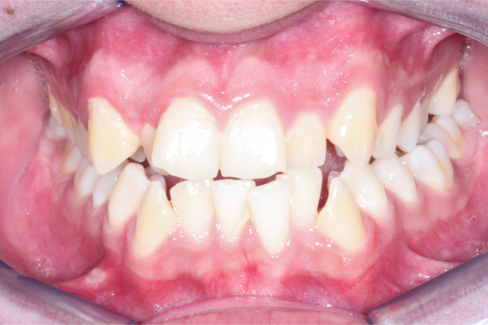
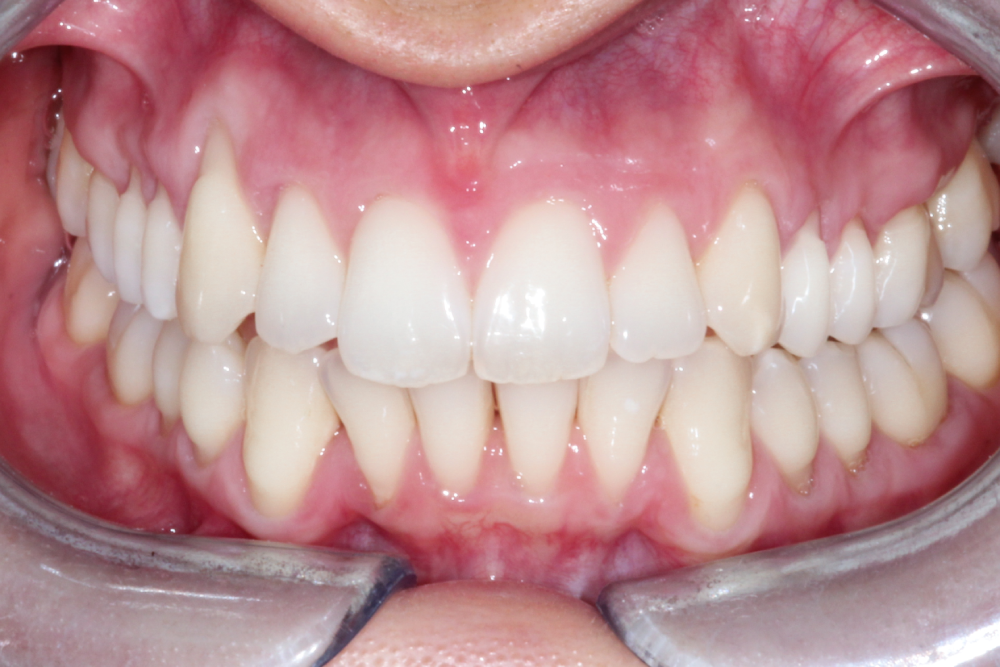
Durata trattamento: 11 mesi
- Correzione indice di Bolton e del rapporto incisivo sup-inf
- Espansione dentale superiore
- Tip e torque elementi 11-21 e vestibolarizzazione elementi 12-22
- Risoluzione affollamento antero-inferiore con estrazione elemento 32


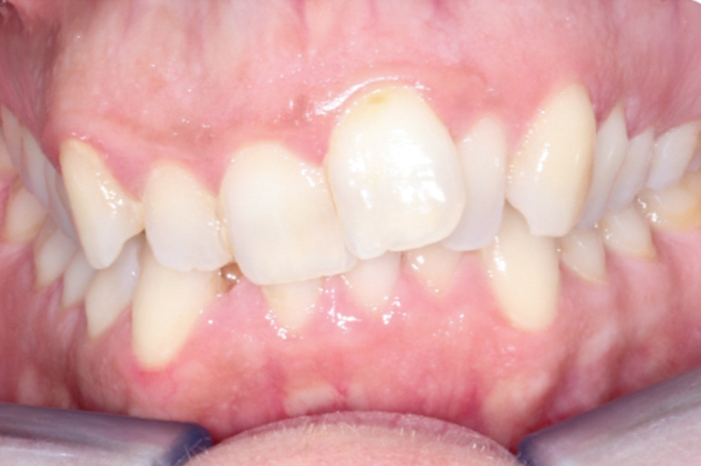
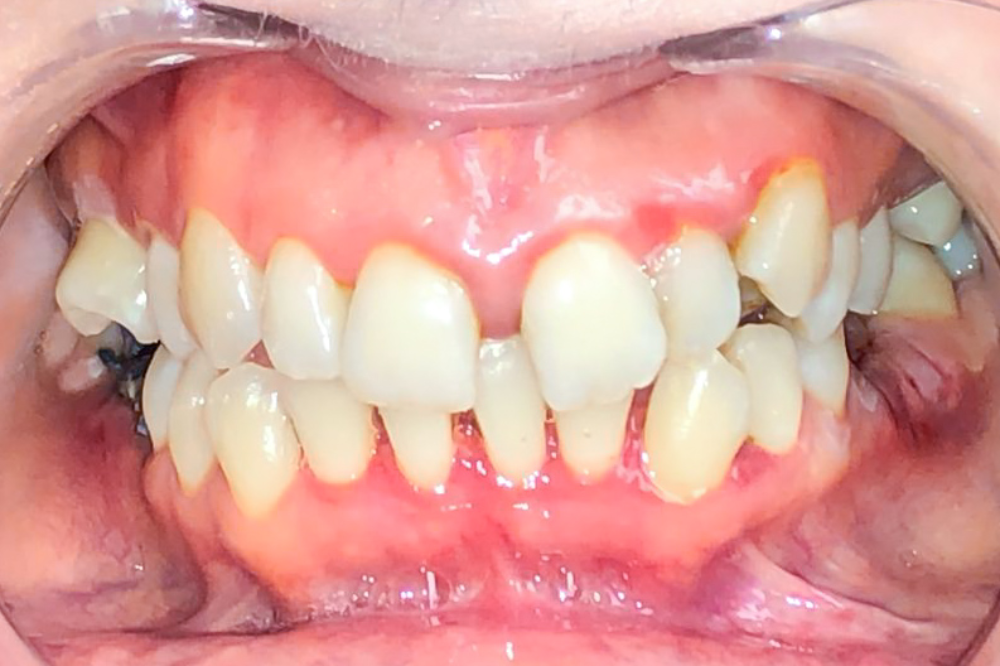
Durata trattamento: 8 mesi
- Vestibolarizzazione elementi 22 di 2mm, 32 di 1.9mm e 42 di 2.6mm
- Tip elementi 11 di 18°, 21 di 23° e intrusione elemento 11 di 1.5mm
- Risoluzione morso profondo e livellamento arcate
- Espansione superiore di 2.1mm e inferiore di 2mm


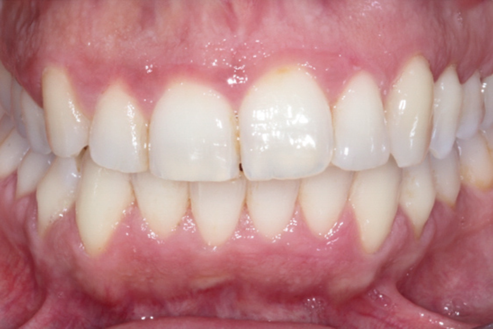
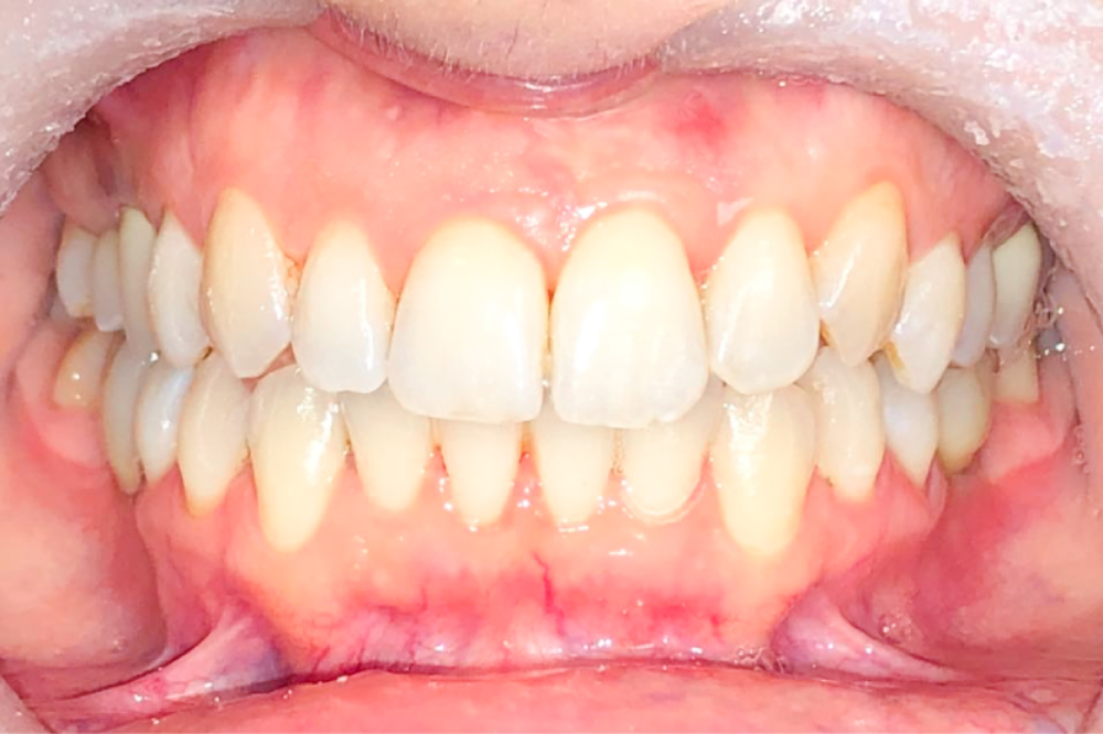
Durata trattamento: 10 mesi
- Estrusione elemento 13 di 3.4mm
- Vestibolarizzazione elemento 33 di 2.3mm
- Rotazione elementi 41 e 42 rispettivamente di 29.6° e 27.6°
- Risoluzione affollamento di entrambe le arcate


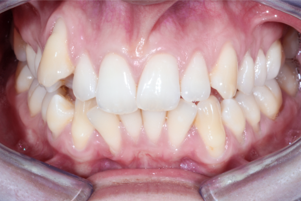
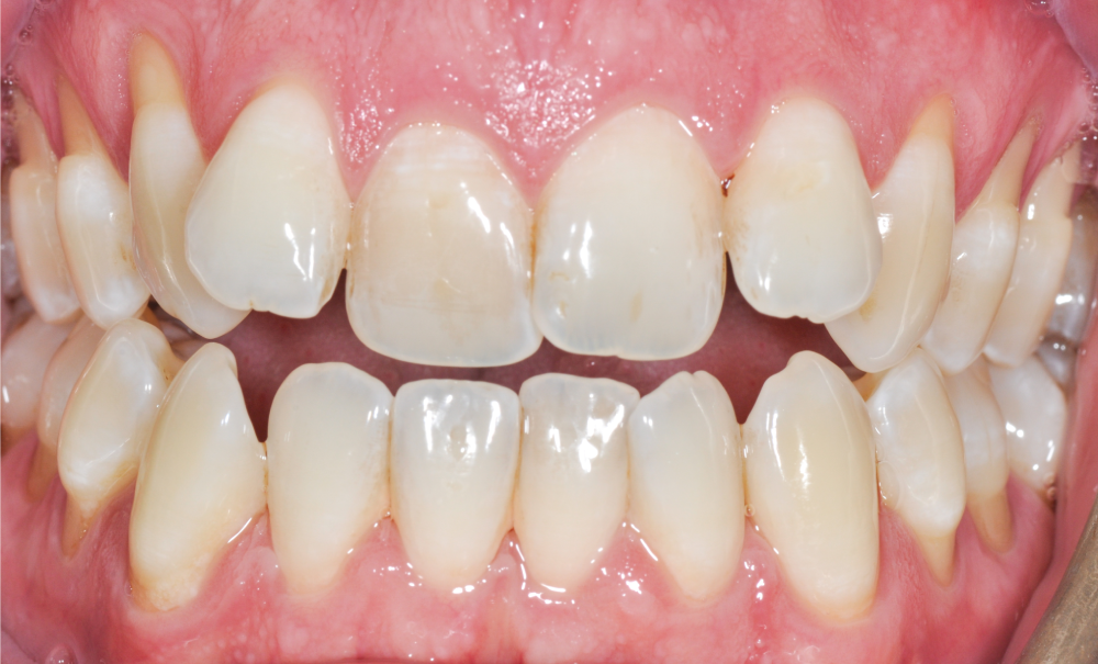
Durata trattamento: 10 mesi
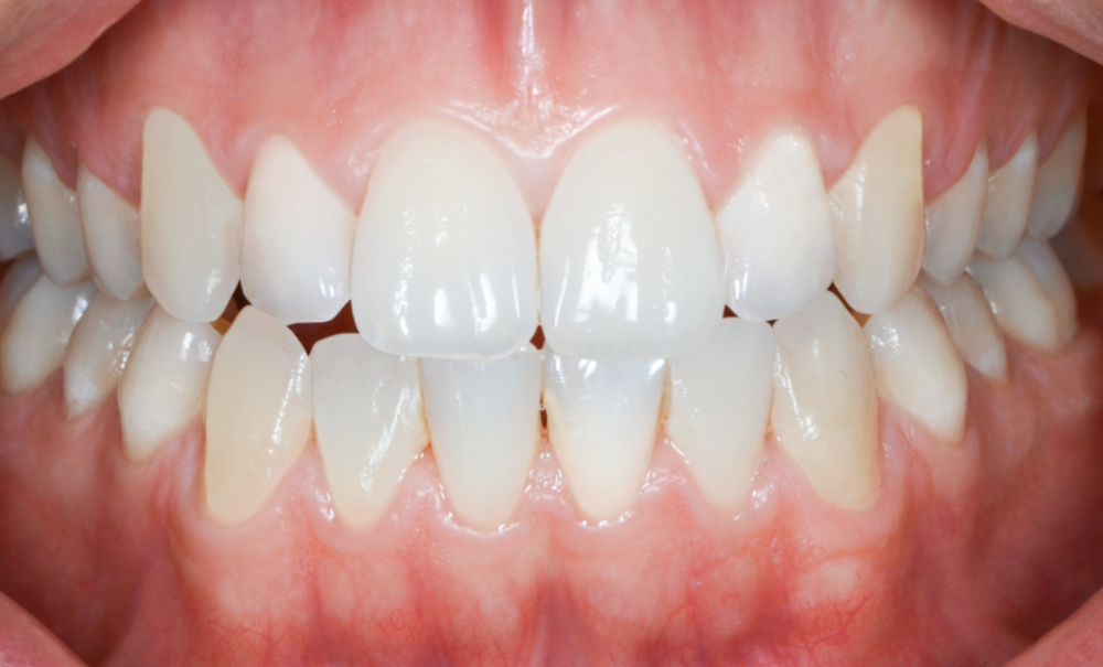
- Chiusura diastema interincisivo superiore di 2.8mm
- Rotazione 3.3 di 31° e 4.3 di 28°
- Centratura linea mediana e livellamento completo delle arcate


Durata trattamento: 13 mesi
- Correzione open-bite di oltre 3mm
- Correzione over-jet di oltre 2mm
- Rotazione elemento 12 di 24°
- Rotazione elemento 32 di 25°
- Risoluzione affollamento superiore

